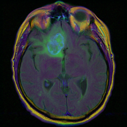
Brain MRI segmentation представляет собой набор из изображений МРТ головного мозга и изображений масок с аномальными участками
Пример данных:
МРТ

Маска

Более подробно об анализе можно просмотреть в ноутбуке Анализ
В ходе анализа, несмотря на низкую корреляцию между переменными, удалось найти некоторые взаимосвязи.
Реализована функция получения сконфигурированной модели для обучения (deeplabv3_mobilenet_v3_large, deeplabv3_resnet50, deeplabv3_resnet101, fcn_resnet50, fcn_resnet101, lraspp_mobilenet_v3_large) и предобработчика изображений по умолчанию
def get_image_segmentation_model(name: str,
pretrained: bool = True,
freeze_weight: bool = False,
num_classes: int = 1):
"""
Функция получения сконфигурированного сегментатора изображений
:param name: название модели
:param pretrained: загружать веса Imagenet1K
:param freeze_weight: замораживать все слои, кроме последнего
:param num_classes: количество выходных классов
:return: tuple(модель, трансформер изображения)
"""
valid_model_name(name)
models_package = segmentation.__dict__
last_layer_name = last_layer_replace_dict[name]
import_name = get_models_dict[name]
weight_name = get_weights_dict[f"{import_name}_weights"]
weights = models_package[weight_name].DEFAULT
model = models_package[import_name](weights=weights if pretrained else None)
if freeze_weight:
for param in model.parameters():
param.requiresGrad = False
if name == "lraspp_mobilenet_v3_large":
in_channels_low = model.classifier.low_classifier.in_channels
model.classifier.low_classifier = nn.Conv2d(in_channels=in_channels_low,
out_channels=num_classes,
kernel_size=(1, 1),
stride=(1, 1))
in_channels_high = model.classifier.high_classifier.in_channels
model.classifier.high_classifier = nn.Conv2d(in_channels=in_channels_high,
out_channels=num_classes,
kernel_size=(1, 1),
stride=(1, 1))
return model, weights.transforms()
if pretrained:
for layer in last_layer_name:
if "." not in layer:
in_features = model._modules[layer].in_features
model._modules[layer] = nn.Linear(in_features=in_features, out_features=num_classes)
else:
last_layer_arr = layer.split(".")
try:
last_layer_arr[1] = int(last_layer_arr[1])
except ValueError:
last_layer_arr[1] = 0
in_channels = model._modules[last_layer_arr[0]][last_layer_arr[1]].in_channels
model._modules[last_layer_arr[0]][last_layer_arr[1]] = nn.Conv2d(in_channels=in_channels,
out_channels=num_classes,
kernel_size=(1, 1),
stride=(1, 1))
else:
last_layer_name = last_layer_name[0]
if "." not in last_layer_name:
in_features = model._modules[last_layer_name].in_features
model._modules[last_layer_name] = nn.Linear(in_features=in_features, out_features=num_classes)
else:
last_layer_arr = last_layer_name.split(".")
try:
last_layer_arr[1] = int(last_layer_arr[1])
except ValueError:
last_layer_arr[1] = 0
in_channels = model._modules[last_layer_arr[0]][last_layer_arr[1]].in_channels
model._modules[last_layer_arr[0]][last_layer_arr[1]] = nn.Conv2d(in_channels=in_channels,
out_channels=num_classes,
kernel_size=(1, 1),
stride=(1, 1))
return model, weights.transforms()
В пакете utils реализованы метрики Pixelwise Acc. и Mean IoU, а также функции потерь: DiceLoss, FocalLoss, JaccardLoss, которых нет в Torch
В ноутбуке Обучение модели.ipynb реализованы все этапы обучения модели.
Для упрощения конфигурации модели в данном ноутбуке имеется ячейка, представленная ниже
# Устройство, на котором будут происходить все вычисления
device = "cuda" if torch.cuda.is_available() else "cpu"
# Пути до датасета
dataset_path = "D:/ProjectsData/Brain MRI segmentation/kaggle_3m"
# Имя базовой модели для классификатора изображений
image_model_type = "deeplabv3_resnet101"
# Функция потерь (BCEWithLogitsLoss, DiceLoss, FocalLoss, JaccardLoss)
criterion_name = "JaccardLoss"
# Название оптимизатора (Adam, AdamW)
optimizer_name = "AdamW"
# Количество предсказываемых классов
num_classes = 1
# Загрузка весов модели
pretrained = True
# Заморозка весов модели (кроме последних слоёв)
freeze_weight = False
# Количество обучающих эпох
num_epochs = 10
# Размер батча при обучении
batch_size = 12
# Пути сохранения и загрузки чекпоинта
save_path = "./deeplabv3_resnet101.pth"
checkpoint_path = "./deeplabv3_resnet101.pth"
Вы можете загрузить веса deeplabv3_resnet101 по данной ссылке