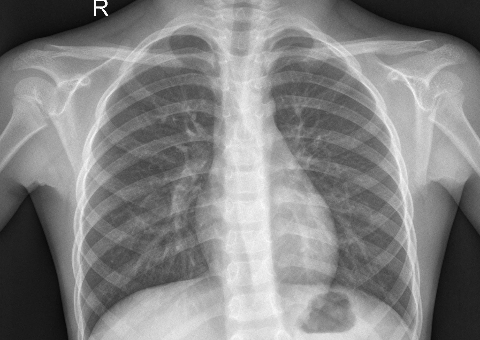
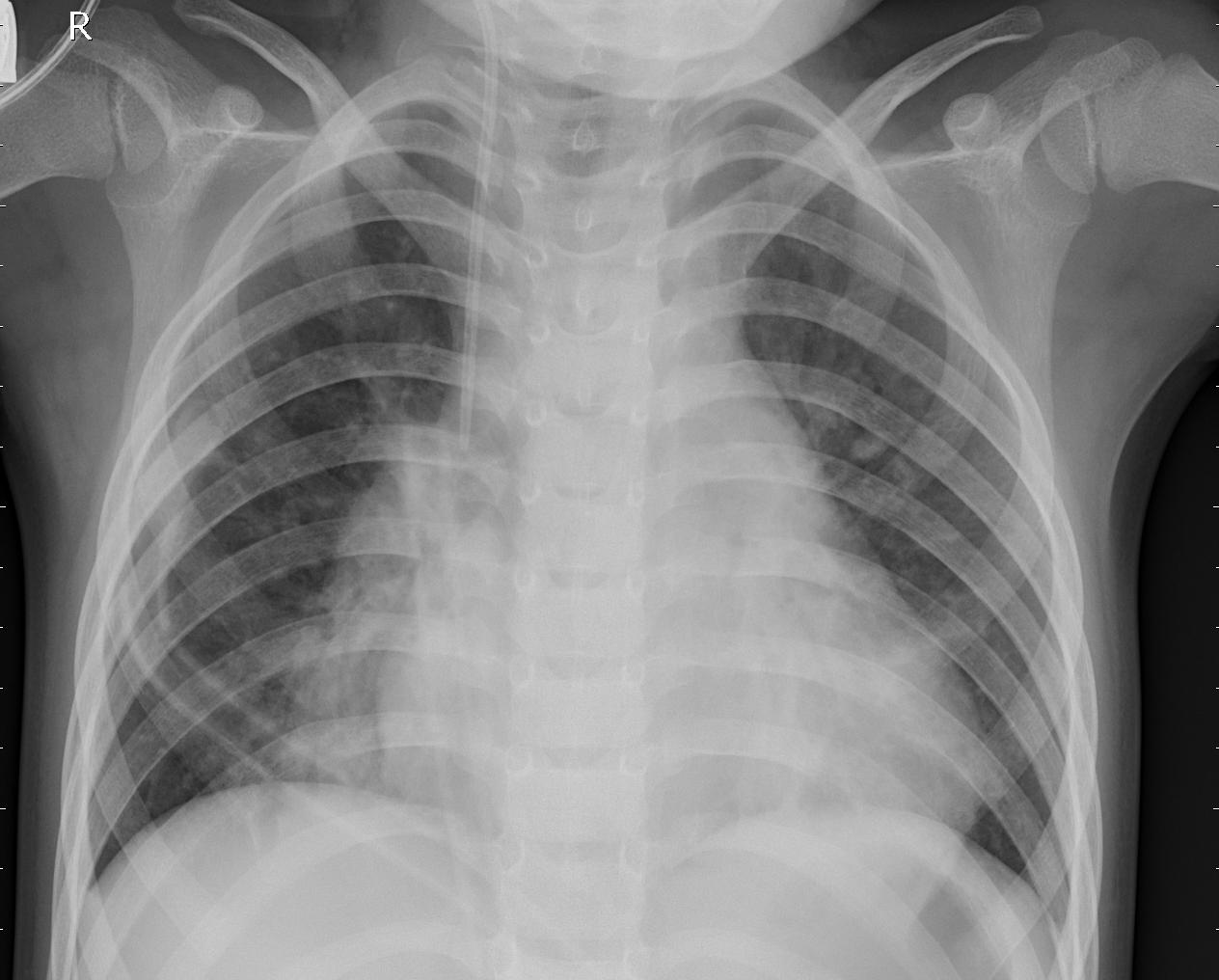
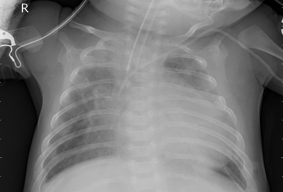
Chest X-Ray Images (Pneumonia) представляет собой набор изображений рентгенов легких с метками классов
Пример данных:
normal

bacteria

virus

Реализована функция получения сконфигурированной модели для обучения (CNN, ViT, BlockCNN, Hybrid CNN + ViT) и предобработчика изображений по умолчанию
def get_image_model(name: str,
pretrained: bool = True,
freeze_weight: bool = False,
num_classes: int = 3
):
"""
Функция получения сконфигурированного классификатора изображений
"""
valid_model_name(name)
models_package = models.__dict__
last_layer_name = last_layer_replace_dict[name]
import_name = get_models_dict[name]
weight_name = get_weights_dict[f"{import_name}_weights"]
if "E2E" in name:
weights = models_package[weight_name].IMAGENET1K_SWAG_E2E_V1
else:
weights = models_package[weight_name].DEFAULT
model = models_package[import_name](weights=weights if pretrained else None)
if freeze_weight:
for param in model.parameters():
param.requiresGrad = False
if "." not in last_layer_name:
in_features = model._modules[last_layer_name].in_features
model._modules[last_layer_name] = nn.Linear(in_features=in_features, out_features=8)
else:
last_layer_arr = last_layer_name.split(".")
try:
last_layer_arr[1] = int(last_layer_arr[1])
except ValueError:
last_layer_arr[1] = 0
in_features = model._modules[last_layer_arr[0]][last_layer_arr[1]].in_features
model._modules[last_layer_arr[0]][last_layer_arr[1]] = nn.Linear(in_features=in_features,
out_features=num_classes)
return model, weights.transforms()
В ноутбуке Обучение модели.ipynb реализованы все этапы обучения модели.
Для упрощения конфигурации модели в данном ноутбуке имеется ячейка, представленная ниже
# Устройство, на котором будут происходить все вычисления
device = "cuda" if torch.cuda.is_available() else "cpu"
# Путь до датасета с npz архивами
dataset_path = "D:/ProjectsData/Chest X-Ray Images (Pneumonia)/chest_xray/chest_xray"
# Имя базовой модели для классификатора изображений
image_model_type = "convnext"
# Количество предсказываемых классов
num_classes = len(inference_dict)
# Загрузка весов классификатора изображений
pretrained = True
# Заморозка весов классификатора изображений
freeze_weight = False
# Количество обучающих эпох
num_epochs = 10
# Размер батча при обучении
batch_size = 3
# Пути сохранения и загрузки чекпоинта
save_path = "./models/convnext.pt"
checkpoint_path = None
Модель обучалась 10 эпох. Ниже представлены графики изменения потерь и точности в процессе обучения


Ниже представлены метрики тестовых данных

Итог: ConvNeXt за 10 эпох достиг 96% точность в определении здоровых лёгких, а также 77% в различии бактериальной и вирусной пневмонии
| Модель | Веса |
|---|---|
| mobilenet v3 | ссылка |
| ConvNeXt L | ссылка |